
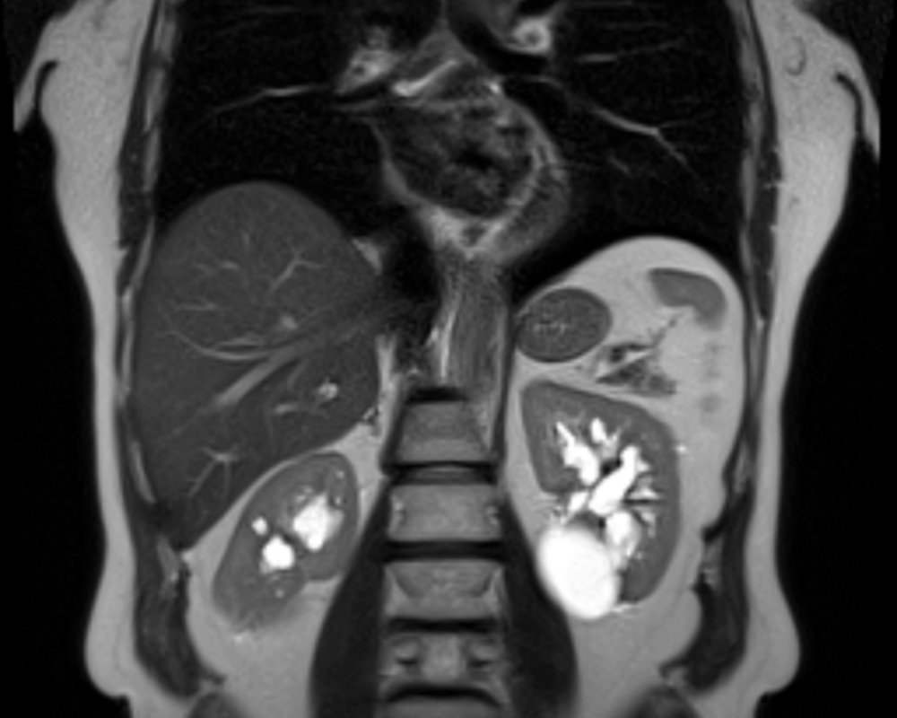
МРТ мочевыделительной системы применяется для визуализации почек, мочеточников и мочевого пузыря без использования ионизирующего излучения. Технология позволяет оценить анатомическую структуру, определить наличие камней, опухолей и аномалий разведения, а также получить данные о функциональном состоянии органов. В современных программах исследования используются мультисеквенциальные подходы, которые обеспечивают высокую детализацию тканей и контраста между ними.
Подготовка к обследованию и конкретные протоколы зависят от клинического вопроса. В рамках процедуры может применяться контрастное вещество, что требует оценки функции почек и соблюдения противопоказаний. https://eurodicenter.ru/uslugi/magnitno-rezonansnaya-tomografiya/magnitno-rezonansnaya-tomografiya-organov-malogo-taza/magnitno-rezonansnaya-tomografiya-mochevydelitelnoj-sistemy
Технические основы МРТ мочевыделительной системы
Параметры сканирования
Протоколы обычно включают последовательности T2-взвешенных изображений для оценки анатомии чашек, лоханок и стенок, а также T1-взвешенных и диффузионно-взвешенных изображений для выявления патологических изменений. Параметры подбираются так, чтобы обеспечить достаточную покрывающую область и разумную временную резкость. В динамических и функциональных режимах могут применяться последовательности с контрастированием или без него, в зависимости от клиники и состояния пациента.
Подготовка пациента
Перед исследованием удаляют металлические предметы и электротехнические устройства. В зависимости от протокола могут потребоваться натощак или, наоборот, увеличение объёма жидкости перед процедурой. Пациенту объясняют необходимость неподвижности, а также дыхательных инструкций для уменьшения артефактов. При наличии тревог по поводу контраста проводится предварительная оценка функции почек и возможных противопоказаний.
Контраст и безопасность
Контрастные вещества применяются для улучшения визуализации сосудистых структур и некоторых патологий. Безопасность подбирается индивидуально; при отсутствии противопоказаний контраст вводится внутривенно и осуществляется динамическое сканирование. В случаях ограничения по контрасту существуют неконтрастные протоколы, которые могут сочетаться с диффузионной и динамической визуализацией для сохранения диагностической информативности.
Клинические протоколы для мочевой системы
Почечные исследования
Оцениваются размеры, форма и положение почек, состояние чашечек и лоханок, а также структура паренхимы. Контрастирование помогает выявлять опухоли, кисты и воспалительные изменения, а также оценивать кровоснабжение и динамику оттока мочи. В некоторых случаях выполняются функциональные последовательности, которые позволяют судить о фильтрационной способности и резидуальном объёме.
Мочеточники и мочевой пузырь
Изображения мочеточников направлены на выявление обструкций, стриктур и камней в области лоханочно-мочеточникового соединения. Для мочевого пузыря важна оценка объёма, тонуса стенки и наличия опухолевых процессов. Раздельный подход к анатомии и динамике позволяет распознавать изменения, связанные с формированием патологических очагов и функциональными нарушениями.
Использование функциональных протоколов
Некоторые протоколы включают динамическое сканирование после введения контраста или без него, а также оценку диффузии ткани. Эти данные помогают различать воспалительные и опухолевые процессы, устанавливать локализацию повреждений и сопоставлять изображение с клиническими данными. В рамках протоколов возможна реализация дополнительных последовательностей, направленных на детекцию мелких изменений.
Интерпретация результатов и ограничения
Ключевые признаки заболеваний
При интерпретации обращают внимание на размер и форму органов, состояние чашек и лоханок, наличие камней, стенок и полостей, а также на сигнали на разных последовательностях и степень контрастирования тканей. Диффузионные изображения помогают распознавать воспаление, доброкачественные и злокачественные образования, а также структурные изменения после перенесённых операций или травм. В контексте данных оценивают вероятность обструкций и нарушения динамики мочевыделительных путей.
Ограничители метода
К числу ограничений относятся неполная подвижность пациента, наличие имплантатов и эстетические нюансы, влияющие на качество визуализации. Контраст может быть противопоказан при выраженных нарушениях функции почек или history аллергических реакций. В некоторых случаях результаты требуют сопоставления с ультразвуковыми данными, компьютерной томографией или клиническими тестами для формирования полной клинической картины.
МРТ мочевыделительной системы представляет собой информативный и безопасный метод визуализации, сочетающий анатомическую детализацию и функциональные данные. Выбор протокола зависит от клинической картины, сопутствующих заболеваний и доступности оборудования. Оценка результатов проводится в контексте других исследований и анамнестических факторов, что позволяет определить тактику дальнейшего наблюдения или лечения.